

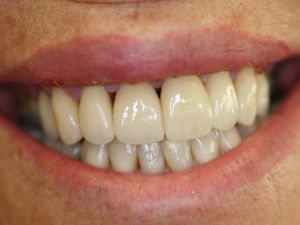
This patient was unhappy with the appearance of her teeth and our dentist had her teeth restored to create this beautiful smile. Swipe Right to see the result!


This patient had this filling done 20 years ago which was beginning to develop decay. Our dentist removed the existing filling and replaced it with a beautiful white composite filling. Swipe Right to see the result!


This patient had large decay in the grooves of her teeth. Our dentist removed the decay and replaced it with a beautiful white composite filling. Swipe Right to see the Result!


This patient lost a piece of an existing filling and due to the size of that filling, the best treatment option was to prepare a crown for structural support. Swipe Right to see the result!


This patient had an old amalgam filling that was breaking down (note the crack to the right of the filling). Our dentist removed the metal filling and replaced it with a white composite filling that matches the natural tooth colour perfectly. Swipe Right to see the result!


This patient had an old composite filling that was beginning to break down and develop decay. Due to the large size of the existing filling, a crown was fabricated to ensure longevity and structural support. Swipe Right to see the Result!
