Why do dentists keep using amalgam fillings (‘silver fillings’)?

Why do dentists keep using amalgam fillings (‘silver fillings’)?

Dental amalgam (‘silver fillings’) have been used as a reliable, efficient, long lasting and safe filling material for over 100 years. While you may have seen or heard commentary suggesting that the use of dental amalgam fillings is dangerous, rest assured these comments are not supported by scientific fact. Health experts and institutions worldwide support the use of amalgam fillings.

MYTH BUSTERS

MYTH: Dental amalgam is the same as mercury, which seeps into your mouth and poses a significant health risk. FACT: Amalgam is not the same as mercury. There is mercury in amalgam, but not in pure form as it is bound in ‘intermetallic compounds’ of silver, tin and copper. Once the amalgam filling has set, there is no liquid mercury present, and it does not present a health risk.

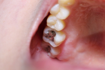
What is a filling and why do I need to have one? 


When a tooth is decayed or damaged due to trauma, your dentist restores the original tooth shape and function with a filling. This may be done with a variety of materials such as amalgam, tooth-coloured fillings or even crowns. Your dentist will recommend the best filling material based on how strong the remaining tooth is, the strength of material needed to restore the tooth and how heavy the bite is.

Why don’t dentists just use the white fillings?

Tooth-coloured fillings, for example ‘resin composite’ and ‘glass-ionomer’ may be an alternative to amalgam fillings. However, choosing tooth-coloured fillings because they are more discrete than amalgam fillings may not be in the best interests of your tooth. Resin composites and glass-ionomers can be technically more difficult to place, more expensive and may not last as long as amalgam.

I already have an amalgam filling, should I have it replaced with resin composite or glass-ionomer?

Replacing any filling unnecessarily or for improved appearance results in additional tooth substance loss and weakening of the remaining tooth structure. Unless there is a legitimate dental need to replace your filling, you are better off keeping the one you have got. Talk to us if you are unsure.

Do dentists using dental amalgam damage the environment?


Amalgam which finds its way into
the environment may eventually break down and release mercury. The Australian Dental Association
and the FDI World Dental Federation recommend the use of devices,
which comply with the international standard, to trap any excess amalgam that may result from placing of new fillings or the removal of existing ones. By making sure your dentist uses a recommended system for collection and disposal of scrap amalgam, you, your dentist and the entire dental team are protecting the environment from mercury contamination.

What should I do if I’m not sure?

The first step should always be to talk to your dentist. Ask any questions you have about amalgam or alternative filling materials until you are comfortable you have selected the option that is best for you.

If you need any more information you can contact us at info@oldev.orionsdental.com

Contact Us